FIELD NAVIGATOR EYE TRACKING PERIMETER
The Rexxam FIELDNavigator is an eye-tracking perimeter mask
designed to revolutionise the efficiency and accuracy of visual field testing.
By utilising advanced eye-tracking technology, FieldNavigator simplifies the
visual fields testing process, offering a more comfortable, user-friendly
experience for both practitioners and patients.
Read more… www.graftonoptical.com/vfd000
Patients no longer need to worry about accurately pressing a button in response to visual stimuli, reducing fatigue-related errors. For those with central vision loss or other special needs, a conventional response switch option remains available.
FIELDNavigator utilises eye gaze analysis to assess visual
fields. The device consists of a head-mounted display and dedicated software,
allowing for the recording of eye gaze at an impressive maximum of 240 frames
per second.
No fixation target needed
The device automatically tracks the patients eye movements ,
eliminating the need for a static fixation target
No button input required
Hands-free operation reduces the risk of patient error, such
as false positives from accidental button presses, ensuring more accurate
results.
No dark room required
Unlike traditional perimeters, the Field Navigator can be
used in a well-lit environment, providing flexibility in clinical settings and
making the process more comfortable for patients.
Increased comfort for patients
With no need for an eye patch or occlusion of the fellow
eye, the test is less intrusive and easier to perform.
Efficiency redefined
Thanks to its auto eye-tracking feature and hands-free operation, the Field Navigator streamlines the testing procedure. It allows examiners to easily explain and administer the test, reducing complexity for patients and saving valuable time for clinics. The device’s compact and portable design enables quick, efficient testing, with no need for a dark room or complicated setup.
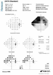
Precision testing
The Field Navigator accurately records visual field
responses by automatically displaying test dots at various positions on the
screen. It offers both automated and traditional measurement methods, providing
flexibility based on patient needs. With fewer errors and minimal supervision
required, one examiner can care for more patients while ensuring the highest
level of accuracy.

